血清素是一种在大脑中起重要作用的神经递质,而血清素 2C 受体则是其受体之一,负责介导血清素在神经系统中的作用。一项新研究发现血清素 2C 受体在记忆过程中具有关键作用,无论是在小鼠模型还是在人类中。

贝勒医学院
6月28日消息
贝勒医学院(Baylor College of Medicine,BCM)、英国剑桥大学(University of Cambridge)及其合作机构的研究人员已经表明,大脑中的血清素 2C 受体在人和动物模型中调节记忆。这项发表在《科学进展》(Science Advances)杂志上的发现不仅为健康记忆所涉及的因素提供了新的见解,还揭示了与记忆丧失相关的疾病(如阿尔茨海默病)中的机制,并为治疗提供了新的途径。

研究于2024年6月28日发表在《Science Advances》(最新影响因子:11.7)杂志上
“血清素是一种由中脑神经元产生的化合物,作为神经递质在脑细胞之间传递信息,”该研究的共同通讯作者、贝勒医学院的儿科营养学教授、美国农业部/农业研究局(USDA/ARS)儿童营养研究中心基础科学副主任徐勇博士说,“产生血清素的神经元伸展到多个脑区,包括海马体,一个对短期和长期记忆至关重要的区域。”

血清素通过与细胞表面的受体结合来向脑细胞传递信息,这些受体向接收细胞发出信号以进行某种活动。
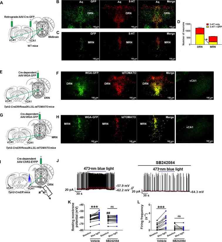
在这项研究中,徐勇实验室凭借其在基础和遗传动物研究方面的专长,以及剑桥大学代谢与医学教授、共同通讯作者 I. Sadaf Farooqi 博士的人类遗传学实验室,专注于血清素 2C 受体,该受体在大脑腹侧海马体 CA1 区(vCA1)中大量存在,研究该受体在人类和动物模型中记忆的作用。
Farooqi 说:“我们之前已经确定了五个携带血清素 2C 受体基因(HTR2C)变异的个体,这些变异会产生有缺陷的受体,携带这些罕见变异的人在记忆问卷上表现出显著的缺陷。这些发现促使我们调查 HTR2C 变异与动物模型中记忆缺陷之间的关联。”

研究团队通过基因编辑技术培育出模拟人类突变的小鼠。当研究人员对这些小鼠进行行为测试以评估它们的记忆时,他们发现携带非功能性基因的雄性和雌性小鼠与未修改的小鼠相比,都表现出记忆回忆能力下降。
“当我们将人类数据和小鼠数据结合起来时,我们发现了强有力的证据,表明血清素 2C 受体的非功能性突变与人类记忆缺陷之间存在关联,”徐勇说。
这些动物模型还使研究团队能够更深入地研究受体如何调节记忆。他们发现了一条始于中脑(产生血清素神经元所在的位置)的大脑回路。这些神经元投射到富含血清素 2C 受体的 vCA1 区域。

“当中脑神经元向 vCA1 区域的神经元释放血清素时,这种神经递质会与其受体结合,向这些细胞发出信号,促使大脑巩固记忆,”徐勇说。
重要的是,研究人员还发现,在阿尔茨海默病小鼠模型中,这一与血清素相关的神经回路受损。“阿尔茨海默病动物模型中的神经回路无法将足够的血清素释放到 vCA1 区域,这些血清素需要与下游神经元中的受体结合,以发出巩固记忆所需的改变信号,”徐勇说。

然而,通过注射血清素类似物洛卡西林(lorcaserin),一种在这些细胞中选择性激活血清素 2C 受体的化合物,可以绕过血清素的缺乏,直接激活下游血清素受体。
“我们在动物模型中测试了这一策略,并兴奋地发现,经过血清素类似物治疗的小鼠记忆得到了改善,”徐勇说,“希望我们的发现能鼓励进一步的研究,以评估血清素类似物在治疗阿尔茨海默病中的价值。”


创立于1900年的贝勒医学院
参考文献
Source:Baylor College of Medicine
Serotonin 2C receptor regulates memory in mice and humans: Implications for Alzheimer's disease
Reference:
Hesong Liu et al. ,Neural circuits expressing the serotonin 2C receptor regulate memory in mice and humans.Sci. Adv.10,eadl2675(2024).DOI:10.1126/sciadv.adl2675
免责声明
本公众号上的医疗信息仅作为信息资源提供与分享,不能用于或依赖于任何诊断或治疗目的。此信息不应替代专业诊断或治疗。在做出任何医疗决定或有关特定医疗状况的指导之前,请咨询你的医生。
原文标题 : 血清素2C受体在小鼠和人类记忆中发挥调控作用:对阿尔茨海默病的启示
未经允许不得转载:医械工坊资讯 » 血清素2C受体在小鼠和人类记忆中发挥调控作用:对阿尔茨海默病的启示
