创伤性脑损伤可能会使患失智症的风险增加四倍,并增加患肌萎缩侧索硬化症等神经退行性疾病的可能性。
在一项新研究中,科学家利用实验室培养的人类大脑结构——类器官,揭示了为何会出现这种情况以及如何降低风险。

南加州大学凯克医学院
4月4日消息
创伤性脑损伤(TBI)可能会使患失智症的风险增加四倍,并增加患肌萎缩侧索硬化症(ALS)等神经退行性疾病的可能性。在《细胞干细胞》(Cell Stem Cell)杂志上发表的一项新研究中,南加州大学(University of Southern California,USC)的科学家们利用实验室培养的人类大脑结构——类器官(Organoids),揭示了为何会出现这种情况以及如何降低风险。

研究于2024年4月4日发表在《Cell Stem Cell》(最新影响因子:23.9)杂志上
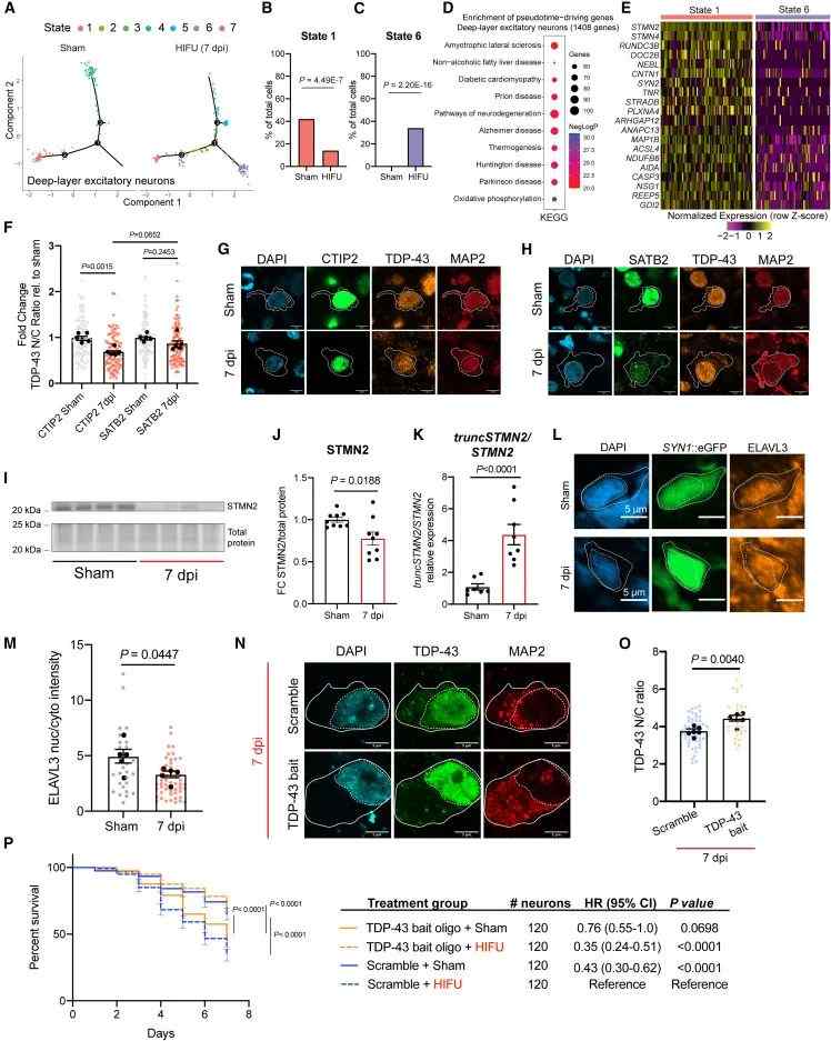
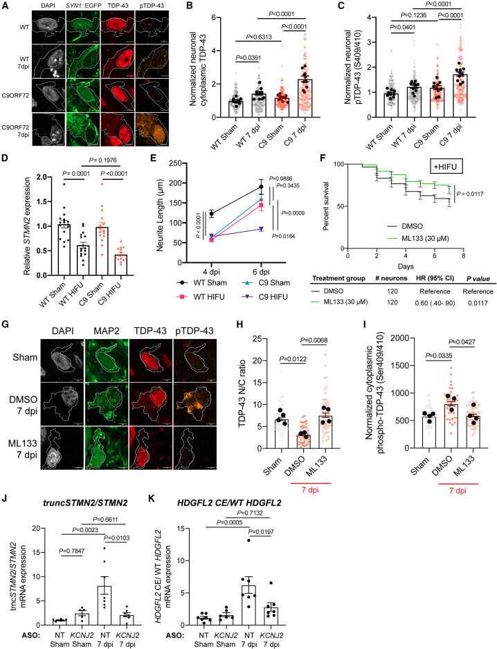
在这项研究中,南加州大学干细胞(USC Stem Cell) Justin Ichida 实验室的前博士后研究员 Jesse Lai 和博士研究生 Joshua Berlind 利用来自人类患者的干细胞在实验室中培养出被称为类器官的基本大脑结构。

接着,他们用高强度超声波损伤这些类器官。
受损的类器官表现出与 TBI 患者相同的一些特征,包括神经细胞死亡和 tau 蛋白以及 TDP-43 蛋白的病理变化。
科学家们发现,TDP-43 的病理变化在来自 ALS 或额颞叶失智患者的类器官中更为普遍,这使得他们的神经细胞在受伤后更容易出现功能障碍和死亡。

用绿色标记神经元的类器官
这表明,对于有遗传倾向的患者,TBI 可能会进一步增加患这些疾病的风险。
受伤最严重的神经细胞是位于类器官深层的信息传递细胞——兴奋性神经元。
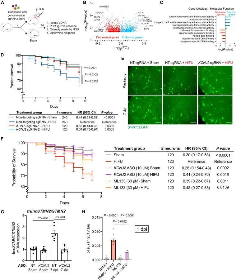
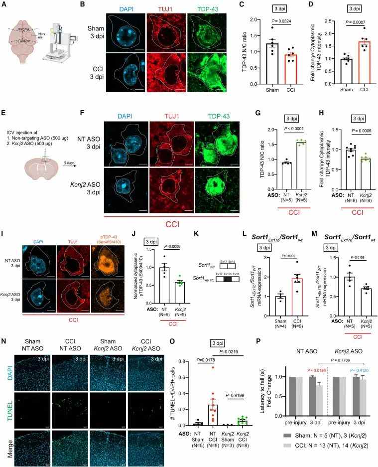
在寻找保护这些神经元免受 TBI 影响的方法时,科学家们发现了一种名为 KCNJ2 的基因,它含有制造通道的指令,这些通道能够选择性地允许钾离子通过细胞膜,从而有助于肌肉收缩和放松。
在创伤性脑损伤后,抑制这种基因对来自 ALS 患者和非 ALS 患者的类器官以及小鼠都具有保护作用。







“靶向 KCNJ2 可能减少创伤性脑损伤后神经细胞的死亡,” USC 的 John Douglas 法国阿尔茨海默病基金会(John Douglas French Alzheimer’s Foundation)干细胞生物学和再生医学副教授、USC Eli 和 Edythe Broad 再生医学和干细胞研究中心的主要研究员 Ichida 说道。
“这可以作为创伤性脑损伤后的治疗方法,也可以作为运动员和其他高风险人群的预防措施,具有潜在的应用价值。”


创立于1885年的南加州大学凯克医学院
“类器官”(Organoids),是指利用成体干细胞或多能干细胞进行体外三维(3D)培养而形成的具有一定空间结构的组织类似物。尽管类器官并不是真正意义上的人体器官,但它们能够在结构和功能上模拟真实器官,重现对应器官的部分功能,从而提供一个高度生理相关系统。这些类器官能够最大程度地模拟体内组织结构及功能并能够长期稳定传代培养。
参考文献
Source:Keck School of Medicine of USC
Organoids reveal how to protect the brain against dementia and ALS following traumatic injury, according to study
Reference:
Jesse D. Lai, Joshua E. Berlind, Gabriella Fricklas, Cecilia Lie, Jean-Paul Urenda, Kelsey Lam, Naomi Sta Maria, Russell Jacobs, Violeta Yu, Zhen Zhao, Justin K. Ichida. KCNJ2 inhibition mitigates mechanical injury in a human brain organoid model of traumatic brain injury. Cell Stem Cell, 2024; 31 (4): 519 DOI: 10.1016/j.stem.2024.03.004
免责声明
本公众号上的医疗信息仅作为信息资源提供与分享,不能用于或依赖于任何诊断或治疗目的。此信息不应替代专业诊断或治疗。在做出任何医疗决定或有关特定医疗状况的指导之前,请咨询你的医生。
原文标题 : 类器官揭示了如何在创伤后保护大脑免受失智和ALS的伤害
未经允许不得转载:医械工坊资讯 » 类器官揭示了如何在创伤后保护大脑免受失智和ALS的伤害
