一项新研究发现了血脑屏障功能障碍的独特分子特征,这可能为诊断和治疗这种疾病指明新的途径。

梅奥诊所
6月20日消息
血脑屏障(Blood–brain barrier,BBB)是一个血管和组织网络,滋养和保护大脑免受血液中有害物质的影响。但在阿尔茨海默病中,血脑屏障会被破坏。现在,梅奥诊所(Mayo Clinic)的研究人员和合作者已经发现了血脑屏障功能障碍的独特分子特征,这可能为诊断和治疗这种疾病指明新的途径。他们的研究结果发表在《自然-通讯》(Nature Communications)杂志上。

研究于2024年6月20日发表在《Nature Communications》(最新影响因子:14.7)杂志上
“这些特征具有成为捕捉阿尔茨海默病大脑变化的新型生物标志物的高度潜力,” 资深作者 Nilüfer Ertekin-Taner 博士说,她是梅奥诊所神经科学部的主任,也是佛罗里达梅奥诊所阿尔茨海默病遗传学和内表型实验室的负责人。

为了进行这项研究,研究团队分析了来自梅奥诊所脑库(Mayo Clinic Brain Bank)的人类脑组织,以及合作机构发布的数据集和脑组织样本。研究队列包括 12 名阿尔茨海默病患者的脑组织样本和 12 名未确诊阿尔茨海默病的健康患者的脑组织样本。所有参与者都已将他们的组织捐赠给科学研究。研究人员表示,通过使用这些和外部数据集,研究团队分析了超过六个脑区的数千个细胞,使这成为迄今为止对阿尔茨海默病中血脑屏障最严格的研究之一。

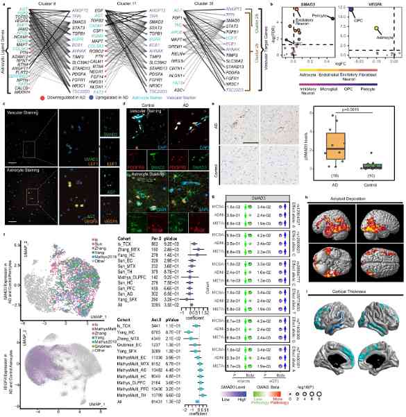
他们专注于脑血管细胞,脑血管细胞是大脑中细胞类型的一小部分,以检查与阿尔茨海默病相关的分子变化。特别是,他们观察了两种在维持血脑屏障中发挥重要作用的细胞类型:周细胞(即大脑的守门人,维持血管的完整性)及其支持细胞——星形胶质细胞,以确定它们是否以及如何相互作用。
他们发现阿尔茨海默病患者的样本中,这些细胞之间的通讯发生了改变,这种改变由一对名为 VEGFA 和 SMAD3 的分子介导。其中,VEGFA 刺激血管生长,而 SMAD3 在细胞对外界环境的反应中起关键作用。通过使用细胞和斑马鱼模型,研究人员验证了他们的发现,即 VEGFA 水平的增加会导致大脑中 SMAD3 水平的降低。

研究团队使用了阿尔茨海默病患者捐赠者和对照组的血液和皮肤样本中的干细胞。他们用 VEGFA 处理这些细胞,以观察它如何影响 SMAD3 水平和整体血管健康。VEGFA 处理导致大脑周细胞中 SMAD3 水平的下降,这表明这些分子之间存在相互作用。
研究人员发现,血液中 SMAD3 水平较高的捐献者血管损伤较少,并且与阿尔茨海默病相关的结果也更好。研究团队表示,还需要进行更多研究来确定大脑中 SMAD3 水平如何影响血液中的 SMAD3 水平。
研究人员计划进一步研究 SMAD3 分子及其在阿尔茨海默病中的血管和神经退行性结果,并寻找其他可能参与维持血脑屏障的分子。


创立于1864年的梅奥诊所
参考文献
Source:Mayo Clinic
Researchers identify vascular changes in the brain linked to Alzheimer's disease
Reference:
??, Ö., Wang, X., Reddy, J.S. et al. Gliovascular transcriptional perturbations in Alzheimer’s disease reveal molecular mechanisms of blood brain barrier dysfunction. Nat Commun 15, 4758 (2024). https://doi.org/10.1038/s41467-024-48926-6
免责声明
本公众号上的医疗信息仅作为信息资源提供与分享,不能用于或依赖于任何诊断或治疗目的。此信息不应替代专业诊断或治疗。在做出任何医疗决定或有关特定医疗状况的指导之前,请咨询你的医生。
原文标题 : 研究人员发现与阿尔茨海默病相关的大脑血管变化
未经允许不得转载:医械工坊资讯 » 研究人员发现与阿尔茨海默病相关的大脑血管变化
