01
文章背景简介
BACKGROUND INTRODUCTION
基因的染色质结构和转录活性受组蛋白(或组蛋白标记)中多种蛋白质翻译后修饰(PTM)的调节。越来越多的证据表明:组蛋白修饰状态与细胞代谢有关。例如:细胞代谢或肠道微生物群发酵可产生短链脂肪酸,如:巴豆酸盐,丁酸盐,α-酮戊二酸盐和3-羟基丁酸盐。这些代谢物可以作为生成酰基辅酶A的前体,用于组蛋白酰化。这些各种不同的酰基辅酶A提供了一种有趣的可能性——即机体内很可能存在一些未报道过的通路,通过细胞或菌群代谢物来调节组蛋白修饰从而影响表观遗传。
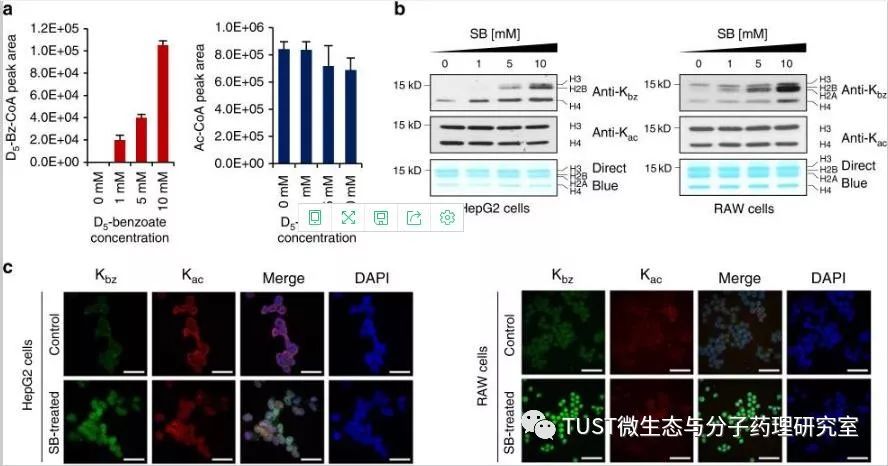
苯甲酰辅酶A是细菌和肠道菌群中大量芳香生长底物降解的中间体。在哺乳动物细胞中,苯甲酰-CoA的可能来源是苯甲酸钠(SB),它是全世界最常用的防腐剂之一,食品中最大允许浓度高达0.1%。 尽管SB被美国食品药品监督管理局(FDA)列为“generally regarded as safe”的化合物,但新兴的研究表明,接触SB可能对消费者造成伤害。此外,如果对患者静脉注射过量的SB会导致严重的并发症。这些研究结果表明人类健康风险与SB有关。然而,其中潜在的生物机制仍然是未知的。
芝加哥大学的Huang He等人,从组蛋白标记赖氨酸苯甲酰化这一新型修饰着手,发现了一种新的表观遗传机制,这种机制可能是导致SB对人体产生上述不良生理反应的原因之一,这一发现2018年发表在了《Nature Communications》杂志(IF2017-2018=12.353;综合2区),题为“Lysine benzoylation is a histone mark regulated by SIRT2”。
02
所用到的主要方法
METHODS
1. 蛋白质印迹法(Western Blot , WB)
2. 液相色谱-质谱联用技术(HPLC-MS/MS)
3. 免疫沉淀(Immunoprecipitation , IP)
4. 免疫荧光实验(Immunofluorescence staining)
5. 结合位点分析法(CHIP-seq)
6. 转录组测序技术(RNA-seq)
03
文章主要内容摘要
ABSTRACT
组蛋白修饰可以动态调节染色质的结构和功能,与多种生理病理过程密切相关。 本文报道了组蛋白标记--赖氨酸苯甲酰化(Kbz)的识别和表征。 本研究从HepG2和RAW细胞中鉴定出了组蛋白上的22个Kbz位点。 苯甲酸钠(SB)是被FDA批准的药物并且被广泛用作化学食品防腐剂,组蛋白Kbz可被苯甲酸钠通过产生苯甲酰CoA而发生。 通过ChIP-seq和RNA-seq分析,本研究证明组蛋白Kbz标记与基因表达相关并且具有与组蛋白乙酰化不同的生理学相关性。 此外,研究表明SIRT2,一种NAD +依赖性蛋白质脱乙酰基酶,在体外和体内都能去除组蛋白Kbz。 因此,本研究揭示了一种具有潜在生理相关性的新型组蛋白修饰,这一发现表明被用作化学食品防腐剂的苯甲酸可能还具有表观遗传修饰调控等不为人知的功能。

未经允许不得转载:医械工坊资讯 » Nat Commun:防腐剂苯甲酸可能通过SIRT2调控组蛋白赖氨酸苯甲酰化
