01
文章背景简介
BACKGROUND INTRODUCTION
干眼症 (Dry eye disease, DED) 又名角结膜干燥症,是指由泪液分泌不足、蒸发过多或泪液成分异常导致的一种常见且复杂的眼科疾病,可引发眼睛不适症状和视力功能障碍。干眼症是眼科常见病,全球数百万人受其影响。年龄、性别、用药历史、慢性疾病如糖尿病、类风湿性关节炎等均为高危人群。中国干眼症的发病率为21%-30%,女性和老年人患病概率较高。干眼症首选的治疗手段是药物治疗,主要用人工泪液或自体血清来替代泪液成分,此外通过利用药物促进泪液分泌、减轻眼表面炎症等方式缓解症状。针对泪液蒸发过多的情况,可以采用佩戴湿房镜及硅胶眼罩,或者进行泪小点封闭、睑板腺堵塞治疗等非药物治疗。此外,2016年7月,美国食品和药物管理局批准Xiidra(Lifitegrast滴眼液)用于治疗干眼病。Xiidra是新一类药物,属于淋巴细胞功能抗原-1(LFA-1)拮抗剂。
近年来的研究表明炎症是 DED的核心机制。DED的特点是眼睛外层的角膜和结膜长期处于干燥状态,导致患者的眼睛感到干燥、发红、发痒,对外界刺激敏感。DED的病因和发病机制是复杂和多因素的,临床上DED可分为两种主要类型:含水型泪缺型干眼和蒸发型干眼。含水型干眼症可分为两类,Sjögren型干眼症和non-Sjögren型干眼症。研究表明,许多患者同时存在水性泪不足和蒸发性干眼,两种类型都具有炎症的共同特征。了解DED的发病机制和分子机制对药物开发有重要意义。目前还没有有效治疗DED的药物,且病因较多副作用。因此,迫切需要了解DED的发病机制,并制定新的治疗策略。
角膜的作用是保护眼睛免受灰尘和细菌的伤害,并聚焦视力。正常情况下,眼睛由角膜外的泪膜保护。泪膜主要由粘蛋白层(由结膜杯状细胞分泌)、水层(由泪腺分泌)和脂质层(由睑板腺分泌)三种蛋白质组成。如果任何一层显示分泌不足或蒸发蒸腾过多,角膜上皮细胞在高渗条件下受损。长期来看,角膜上皮细胞分泌多种促炎细胞因子,进而激活免疫细胞,导致角膜表面持续发炎。炎症反应甚至扩散到富含杯状细胞的结膜,导致杯状细胞和粘蛋白的丢失。与健康人相比,DED患者结膜中主要粘蛋白MUC5AC含量降低。眼表过度炎症是DED发生的关键机制。多种促炎细胞因子如白介素(IL)-1β、IL-6、IL-8、肿瘤坏死因子-α (TNF-α)、基质金属肽酶-9 (MMP-9)等在DED患者泪液中经常升高[8,9]。细胞凋亡在DED的发生发展中起重要作用。泪液高渗可引起结膜和角膜细胞凋亡已经建立了几种动物模型来模拟DED的致病条件。苯扎氯铵(BAC)是滴眼液中常用的防腐剂,已被证明对眼睛有毒性作用。据报道,在包括小鼠和大鼠在内的几种动物中,BAC会引起炎症、泪膜不稳定、角膜上皮屏障破裂和结膜杯状细胞丢失,BAC诱导眼球破裂模型已被广泛应用于炎性和蒸发型DED的研究。此外,眼眶外泪腺的手术切除可以产生一种模拟含水型泪液缺乏型干眼和non-Sjögren型干眼的模型。根据之前的研究,眶外泪腺切除(LGE)诱导的DED使泪液量减少一半,并对角膜上皮造成显著损害。而为了诱导严重的、不可逆的DED,一些研究人员将小鼠注射东莨菪碱,并将其置于室温、相对湿度较低的可控环境室(CEC)中。使用东莨菪碱可以减少含水泪液的产生,而低湿度环境会导致泪膜的过度蒸发。
在DED(dry eye disease 干眼症)动物模型中,主要在眼表发现m1型巨噬细胞,分泌多种促炎细胞因子和趋化因子促进炎症反应。在DED动物模型中,巨噬细胞的消耗显著降低了眼表损伤、其他免疫细胞的浸润和促炎细胞因子的表达。DED眼表变化与DED患者泪液中IL-17水平升高有关。IL-17在体内的中和作用可显著降低小鼠的DED严重程度。因此,阻断巨噬细胞和Th17细胞的激活是治疗DED的潜在策略。细胞间粘附分子1 ( ICAM-1)与淋巴细胞功能相关抗原1 ( LFA-1)的相互作用是导致DED恶性炎症循环的关键过程。其相互作用促进免疫突触的形成,并启动T细胞的分化和激活。FDA最新批准的DED药物Xiidra是一种LFA-1拮抗剂,可阻断DED患者的免疫突触。之前研究已发现IL-20是一种上游因子,诱导IL-1β、IL-6、IL-8、TNF-α和MMP-9等多种促炎因子的表达。此外,IL-20已被发现促进多种细胞的凋亡。
综上,为了探讨DED发病机制以及IL-20单克隆抗体7对于DED的治疗效果, 台湾成功大学医学院Hsiao-Hsuan Wang等开展了相关研究,并于2023年在《Journal of Biomedical Science》杂志(IF=11.0,Q1)发表了题为“Interleukin?20 is involved in dry eye disease and is a potential therapeutic target”的文章,该文章主要通过建立体外模拟以及三种小鼠干眼症模型了解IL-20单克隆抗体的治疗机制。
02
所用到的主要方法
METHODS
1、酶联免疫吸附试验(ELISA)
2、角膜荧光素染色
3、免疫细胞化学(ICC)
4、免疫荧光(IF)
5、流式细胞术
03
文章主要内容摘要
ABSTRACT
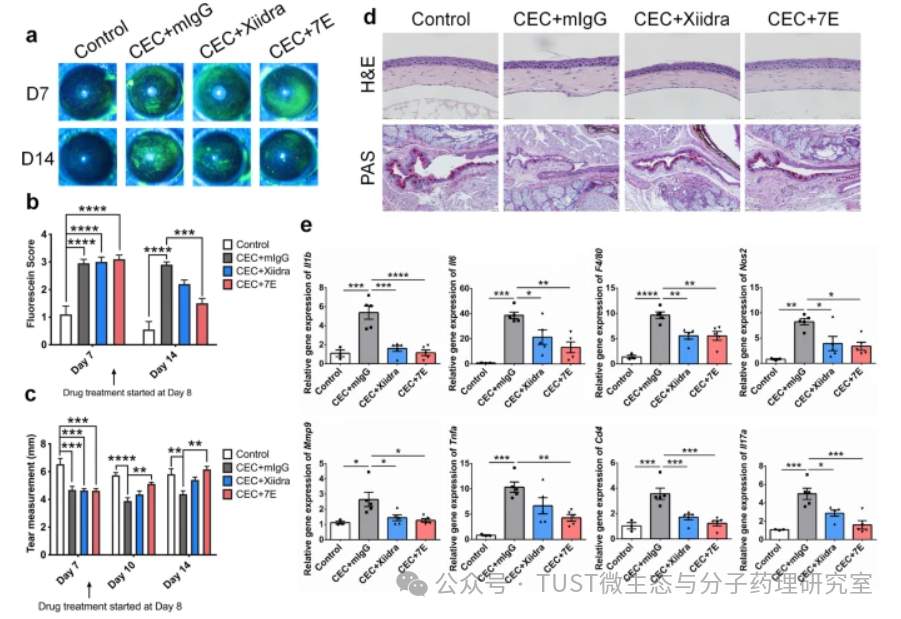
越来越多的证据表明,炎症是导致DED恶性循环的核心机制。作者的结果也证明了泪液中IL-20的水平与非DED对照组相比,DED患者促炎因子IL-6和IL-8水平升高,提示炎症介质在DED发病机制中发挥重要作用。一些动物模型已经被用来模拟病人的DED状况。然而,DED的发病机制是多因素的,每种模型都有其自身的局限性,不能完全重现DED患者的病理生理机制。因此,作者采用三种不同的DED小鼠模型来研究IL-20的致病作用。一是广泛应用的bac诱导模型研究炎症和蒸发型DED。第二种是lge诱导的DED模型,通过手术切除眶外泪腺来模拟含水型泪液缺乏non-Sjögren的干眼型。三是东莨菪碱和干燥应激诱导的DED模型,模拟蒸发型和水相型泪液缺乏DED条件。作者的体内实验结果证实了三种不同模型DED小鼠角膜和泪液中IL-20的上调,提示临床上不同病因介导的DED均可能诱发IL-20生产。
此外,单克隆抗体7E对IL-20的阻断改善了三种模型的疾病严重程度,提示IL-20在DED模型中介导了一种共同的致病机制。在角膜中,IL-20主要在三种DED小鼠模型的角膜上皮细胞中上调。在体外实验中,作者发现高渗透应激诱导角膜上皮细胞中IL-20的表达,而这一表达被NFAT5抑制剂KRN5阻断,这表明细胞渗透调节因子NFAT5有助于在高渗透应激下IL-20的上调本研究比较了7E和Xiidra对小鼠DED模型的治疗效果。Xiidra是FDA批准的用于DED的药物,是LFA-1的拮抗剂,可有效阻断DED中ICAM-1和LFA-1之间的相互作用及其下游炎症反应。虽然Xiidra和7E显示出类似的治疗效果,可以防止baci诱导的过度蒸发性DED,但在LGE诱导的水性泪不足DED和ds诱导的水性泪不足DED中,7E比Xiidra在维持泪液生成方面表现出更大的益处。因此,7E可能对DED伴水性泪不足或混合性泪不足症状的患者更有效。有报道称,部分DED患者对Xiidra治疗无效。因此,使用抗IL-20单抗可能是治疗这种情况的另一种策略,特别是对于房水性泪不足或混合性泪过蒸发和房水性泪不足的DED患者。此外,单抗7E和FDA已批准上市的DED药物(LFA-1拮抗剂)Xiidra的作用机制似乎有所不同。Xiidra通过阻断LFA-1和ICAM-1之间的相互作用来阻断T细胞的活化,而7E则通过抑制il -20介导的角膜上皮损伤和抑制巨噬细胞活化来减轻炎症反应。此外,由于7E也抑制了ICAM-1的表达,因此它可能与Xiidra在T细胞激活方面具有相同的作用,从而提供了更广泛的抗DED的保护。
简而言之,本研究的主要内容有:
1. IL - 20在角膜高渗透应激下诱导上皮细胞
2. 7E治疗抑制高渗透压应激诱导的巨噬细胞激活
3. 7E在体外通过调节BAX和BCL - 2保护角膜上皮细胞免受高渗透应激诱导的细胞死亡
4. 7E可减轻BAC诱发的疾病严重程度
5. 7E减少巨噬细胞浸润,抑制角膜炎症
6. 7E降低LGE诱导的Th17细胞数量
7. 7E可减轻DS诱导的DED模型小鼠的疾病严重程度




原文标题 : 白细胞介素-20是干眼病潜在的治疗靶标
未经允许不得转载:医械工坊资讯 » 白细胞介素-20是干眼病潜在的治疗靶标
